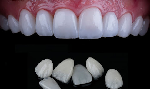
Răng Sứ Kim Loại Là Gì?
Răng sứ kim loại là một loại răng giả được sử dụng phổ biến trong nha khoa để phục hồi các răng bị hỏng hoặc mất thẩm mỹ. Răng sứ kim loại có cấu trúc gồm hai phần chính: khung kim loại bên trong và lớp sứ bên ngoài. Khung kim loại thường được làm từ các hợp kim như niken-crôm hoặc cobalt-crôm, mang lại độ bền cao và khả năng chịu lực tốt. Lớp sứ bên ngoài được chế tác tỉ mỉ để mô phỏng màu sắc và hình dáng của răng thật, giúp tăng tính thẩm mỹ.
Các Loại Răng Sứ Kim Loại Phổ Biến Hiện Nay
Răng Sứ Kim Loại Thường: Đây là loại răng sứ phổ biến nhất với khung kim loại niken-crôm. Loại này có chi phí thấp nhưng có thể gây dị ứng ở một số người.
Răng Sứ Titan: Khung kim loại được làm từ titan, không gây dị ứng và tương thích sinh học tốt hơn. Răng sứ titan có độ bền cao nhưng giá thành cũng cao hơn răng sứ kim loại thường.
Răng Sứ Quý Kim: Sử dụng các kim loại quý như vàng hoặc bạc trong khung kim loại. Loại răng sứ này có độ bền cực kỳ cao, thẩm mỹ tốt và giá thành rất đắt đỏ.
Tác Hại Của Răng Sứ Kim Loại
Dù răng sứ kim loại có nhiều ưu điểm về độ bền và chi phí, nhưng cũng tồn tại một số tác hại và hạn chế mà người dùng cần lưu ý:
Màu Sắc Kém Tự Nhiên: Lớp sứ phủ bên ngoài không thể che hoàn toàn màu của khung kim loại, đặc biệt là ở viền nướu. Sau một thời gian sử dụng, viền nướu có thể bị thâm đen, ảnh hưởng đến thẩm mỹ.
Dị Ứng Kim Loại: Một số người có thể bị dị ứng với các kim loại như niken có trong khung răng sứ kim loại thường. Điều này có thể gây ra các triệu chứng như ngứa, viêm nướu, và khó chịu trong miệng.
Khả Năng Chịu Lực Hạn Chế: So với các loại răng sứ toàn sứ hay răng sứ zirconia, răng sứ kim loại có khả năng chịu lực kém hơn. Điều này có thể dẫn đến tình trạng nứt vỡ lớp sứ bên ngoài khi nhai thức ăn cứng.
Khả Năng Tương Thích Sinh Học Thấp: Khung kim loại có thể gây kích ứng mô nướu và xương hàm xung quanh. Điều này có thể dẫn đến viêm nhiễm và mất ổn định răng.
Thay Đổi Nhiệt Độ: Kim loại dẫn nhiệt tốt hơn sứ, do đó răng sứ kim loại có thể gây cảm giác ê buốt khi ăn thức ăn quá nóng hoặc quá lạnh.
Cách Chăm Sóc Răng Sứ Kim Loại Đúng Cách
Để đảm bảo răng sứ kim loại luôn bền đẹp và không gây tác hại đến sức khỏe răng miệng, bạn cần tuân thủ các biện pháp chăm sóc sau:
Vệ Sinh Răng Miệng Đúng Cách: Đánh răng ít nhất hai lần mỗi ngày và sử dụng chỉ nha khoa để làm sạch kẽ răng. Chọn bàn chải mềm và kem đánh răng không chứa chất mài mòn để tránh làm mòn lớp sứ.
Hạn Chế Thực Phẩm Cứng và Dính: Tránh nhai các loại thực phẩm cứng như đá, hạt cứng và thức ăn dính như kẹo cao su để tránh làm nứt vỡ lớp sứ.
Kiểm Tra Định Kỳ Tại Nha Khoa: Định kỳ đến nha sĩ kiểm tra răng sứ kim loại để phát hiện và khắc phục sớm các vấn đề như viêm nướu, nứt vỡ lớp sứ.
Sử Dụng Nước Súc Miệng Kháng Khuẩn: Nước súc miệng kháng khuẩn giúp giảm nguy cơ viêm nhiễm và giữ cho răng sứ luôn sạch sẽ.
Tránh Thực Phẩm Nhiệt Độ Quá Cao Hoặc Quá Thấp: Hạn chế ăn uống các thực phẩm và đồ uống quá nóng hoặc quá lạnh để tránh tình trạng ê buốt răng.
Kết Luận
Răng sứ kim loại là một giải pháp nha khoa phổ biến nhờ chi phí hợp lý và độ bền cao. Tuy nhiên, cũng tồn tại một số tác hại cần lưu ý như màu sắc kém tự nhiên, dị ứng kim loại, và khả năng chịu lực hạn chế. Bằng cách chăm sóc răng sứ kim loại đúng cách, bạn có thể duy trì độ bền và thẩm mỹ của răng, đồng thời bảo vệ sức khỏe răng miệng tốt nhất.
>>>Đọc thêm: 5 nhược điểm của cầu răng sứ.




