Khi đối mặt với tình trạng răng mòn mặt nhai, một trong những câu hỏi mà nhiều người quan tâm là chi phí điều trị mòn mặt nhai răng bao nhiêu? Việc xác định một con số cụ thể là khá khó vì chi phí mòn mặt nhai phụ thuộc vào rất nhiều yếu tố, bao gồm mức độ nghiêm trọng của tình trạng mòn răng, phương pháp điều trị được lựa chọn, số lượng răng cần điều trị, vật liệu sử dụng, trình độ chuyên môn của nha sĩ và địa điểm phòng khám.
Để giúp bạn có cái nhìn tổng quan hơn về các yếu tố ảnh hưởng đến chi phí và các lựa chọn điều trị phổ biến, chúng ta sẽ cùng phân tích chi tiết:
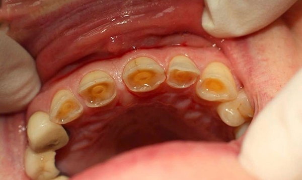
1. Mức độ mòn răng:
Đây là yếu tố quan trọng nhất quyết định chi phí. Mòn răng có thể được phân loại từ nhẹ đến nặng:
Mòn nhẹ: Chỉ ảnh hưởng đến men răng, thường chỉ cần các biện pháp phòng ngừa, tư vấn hoặc trám răng đơn giản.
Mòn trung bình: Đã ảnh hưởng đến ngà răng, gây ê buốt đáng kể. Có thể cần trám răng phức tạp hơn hoặc bọc sứ.
Mòn nặng: Đã ảnh hưởng đến tủy răng, gây đau nhức dữ dội, có nguy cơ nhiễm trùng. Có thể cần điều trị tủy, sau đó phục hình bằng mão răng (bọc sứ) hoặc thậm chí nhổ răng và làm cầu răng/implant nếu răng không thể giữ lại.
2. Phương pháp điều trị:
Mỗi mức độ mòn răng sẽ có các phương pháp điều trị phù hợp, với mức chi phí khác nhau:
Trám răng (Hàn răng):
Áp dụng: Thường dùng cho các trường hợp mòn răng nhẹ đến trung bình, khi chỉ có một phần nhỏ men răng và ngà răng bị mất, hoặc có các hố lõm do mòn.
Vật liệu: Các vật liệu phổ biến bao gồm composite (trám thẩm mỹ, có màu sắc tương đồng với răng thật) hoặc amalgam (ít dùng hơn hiện nay do màu sắc kim loại). Composite có giá cao hơn amalgam.
Chi phí: Đây là phương pháp có chi phí thấp nhất, dao động tùy thuộc vào số lượng mặt răng cần trám và vật liệu.
Mão răng (Bọc răng sứ):
Áp dụng: Đối với các trường hợp mòn răng nghiêm trọng hơn, khi cấu trúc răng bị suy yếu đáng kể, răng dễ gãy vỡ, hoặc cần phục hồi hình thể và chức năng ăn nhai toàn diện. Mão răng bao phủ toàn bộ răng thật.
Vật liệu: Có nhiều loại sứ khác nhau như sứ kim loại, sứ toàn sứ (Zirconia, Emax), với giá thành từ thấp đến cao tương ứng với độ bền và thẩm mỹ.
Chi phí: Cao hơn đáng kể so với trám răng, vì đây là một quy trình phức tạp hơn và sử dụng vật liệu cao cấp.
Mặt dán sứ (Veneer):
Áp dụng: Thường dùng cho các răng cửa bị mòn nhẹ, khi mục tiêu chính là cải thiện thẩm mỹ, che đi các khuyết điểm về màu sắc hoặc hình dáng do mòn.
Chi phí: Tương tự như mão răng hoặc có thể cao hơn một chút tùy loại sứ và yêu cầu thẩm mỹ.
Điều trị tủy:
Áp dụng: Khi mòn răng đã tiến triển đến mức gây viêm hoặc nhiễm trùng tủy răng. Đây là bước bắt buộc trước khi phục hình bằng trám hoặc bọc sứ.
Chi phí: Phát sinh thêm ngoài chi phí phục hình, tùy thuộc vào số ống tủy của răng cần điều trị.
Nẹp chống nghiến (Night guard):
Áp dụng: Nếu nguyên nhân mòn răng là do tật nghiến răng. Chi phí này là để phòng ngừa mòn răng tiếp diễn, không phải để điều trị trực tiếp phần răng đã bị mòn.
Chi phí: Thấp hơn các phương pháp phục hình nhưng cần thiết để bảo vệ kết quả điều trị.
Điều chỉnh khớp cắn/Chỉnh nha:
Áp dụng: Nếu mòn răng do khớp cắn sai lệch. Đây là một khoản đầu tư lâu dài để giải quyết tận gốc nguyên nhân mòn răng.
Chi phí: Thường là cao nhất trong các phương pháp, nhưng mang lại lợi ích toàn diện cho sức khỏe răng hàm mặt.
3. Số lượng răng cần điều trị:
Hiển nhiên, nếu bạn có nhiều răng bị mòn, tổng chi phí sẽ tăng lên tương ứng.
4. Phòng khám nha khoa và nha sĩ:
Trình độ chuyên môn của nha sĩ: Các nha sĩ có kinh nghiệm, uy tín cao thường có mức giá dịch vụ cao hơn.
Cơ sở vật chất của phòng khám: Phòng khám được trang bị hiện đại, công nghệ tiên tiến, đảm bảo vô trùng tuyệt đối cũng sẽ có chi phí cao hơn.
Địa điểm: Chi phí tại các thành phố lớn hoặc khu vực trung tâm thường cao hơn các khu vực khác.
Lời khuyên:
Để biết chính xác chi phí mòn mặt nhai trong trường hợp của bạn, tốt nhất là bạn nên đến thăm khám trực tiếp tại một phòng khám nha khoa uy tín. Nha sĩ sẽ thăm khám, chụp X-quang (nếu cần), đánh giá mức độ mòn răng, xác định nguyên nhân và đưa ra phác đồ điều trị cụ thể cùng với dự toán chi phí chi tiết. Đừng ngần ngại hỏi rõ về các lựa chọn vật liệu, quy trình và tổng chi phí trước khi quyết định điều trị nhé.


